Tumor glómico extradigital, una causa inusual de dolor abdominal crónico: reporte de caso - Extradigital glomus tumor, an unusual cause of chronic abdominal pain: case report
Keywords:
tumor glómico, glomangioma, pared abdominal, dolor crónico, diagnóstico diferencialAbstract
Resumen
Introducción: a pesar de la baja incidencia, la presentación clínica típica de los tumores glómicos digitales permite un diagnóstico adecuado en el 90% de los casos. Sin embargo, las presentaciones extradigitales son un reto diagnóstico y en ocasiones implican la realización de estudios, manejo médico fallido, retrasos en el diagnóstico y/o diagnósticos erróneos. Por lo tanto, es importante conocer la presentación y forma de manejo de los tumores glómicos con localización atípica.
Presentación del caso: se presenta un paciente con dolor abdominal de 2 años de evolución, en epigastrio, con características lancinantes asociado a deterioro de la calidad de vida. No tenía hallazgos a la inspección física, pero presentaba generación del dolor a la palpación. Se enfocó como dispepsia e isquemia miocárdica; sin embargo, se descartaron estos diagnósticos. Una tomografía de abdomen reportó una lesión nodular de 3x5 mm subcutánea epigástrica. Se estableció el diagnóstico de tumor glómico y fue llevado a resección quirúrgica con mejoría inmediata.
Conclusión: los tumores glómicos pueden localizarse en cualquier parte del cuerpo. Es importante conocer la presentación clínica típica para facilitar su diagnóstico; cuando es diagnosticado, el tratamiento curativo es la escisión quirúrgica y rara vez se presentan recurrencias.
Introduction: despite the low incidence, the typical clinical presentation of digital glomus tumors allows an accurate diagnosis in 90% of cases. However, extradigital presentations represent a diagnostic challenge which can induce failure in medical management, diagnostic delays, and/or misdiagnoses, often requiring additional workup studies. Hence, it is crucial to understand the presentation and management of glomus tumors in atypical locations.
Case presentation: it is presented a patient with a two-year history of sharp epigastric abdominal pain associated with a reduced quality of life. There were no significant findings at physical exam, except for pain reproduction upon palpation. Initial focus was on dyspepsia and myocardial ischemia, which were ruled out. Abdominal CT imaging revealed a 3x5 mm subcutaneous epigastric nodular lesion. A diagnosis of a glomus tumor was established, and the patient underwent surgical resection, leading to immediate improvement.
Conclusion: glomus tumors can occur anywhere in the body. Recognizing their typical clinical presentation is essential to facilitate diagnosis. When identified, surgical excision is a curative treatment, and recurrences are rare.
Un tumor glómico es un tumor benigno del aparato neuromioarterial¹; el cuerpo glómico normal es una forma especializada de anastomosis arteriovenosa que participa en la termorregulación y control de la presión arterial, modificando el flujo sanguíneo en la piel, se localiza en el estrato reticular de la dermis²,³. El tumor glómico es casi siempre un nódulo dérmico solitario, principalmente localizado en las zonas subungueales de los dedos de las manos. Los tumores glómicos son infrecuentes, se estima que sean el 1,6% de los tumores de tejidos blandos, afectando a ambos sexos por igual².
La presentación clínica de los tumores glómicos no se relaciona a su tamaño, se caracteriza por paroxismos de dolor intenso y desproporcionado, que se desencadena por la estimulación táctil y cambios de temperatura, especialmente la exposición al frío².
Aunque no se ha comprendido completamente la fisiopatología del dolor, se han encontrado fibras nerviosas que contienen sustancia P inmunorreactiva (péptido asociado con el dolor) en los tumores glómicos, lo que sugiere un rol de esta en la mediación del dolor². Las características clínicas específicas de los tumores glómicos digitales permiten un diagnóstico clínico acertado en el 90% de los casos; sin embargo, la localización extradigital es rara y representa un gran reto diagnóstico, asociado frecuentemente a imprecisiones en el mismo⁴,⁵.
En la revisión exhaustiva de la literatura realizada, solo se encontraron 3 casos de tumores glómicos extradigitales con afectación de la pared abdominal⁶,⁷. Por lo tanto, se reporta este caso con una clínica típica, llevado a resección quirúrgica y confirmado por histopatología. Es importante que los médicos conozcan la presencia de estos tumores en sitios inusuales para facilitar su diagnóstico y tratamiento oportuno.
Presentación del casoHombre de 42 años, comerciante, sin antecedentes médicos ni quirúrgicos. Consultó por 2 años de dolor abdominal de alta intensidad en región epigástrica, tipo lancinante y en ocasiones urente. El dolor no tenía irradiación, ni asociación con la ingesta o demás síntomas gastrointestinales; sin embargo, empeoraba con el agua fría, al roce con las prendas de vestir, la palpación epigástrica y el decúbito prono. El paciente negó historia de trauma local.
A la exploración abdominal, el paciente presentaba dolor lancinante e intenso a la palpación epigástrica superficial, sin signos de abdomen agudo. El resto de la exploración física sin hallazgos anormales.
El paciente había consultado en múltiples oportunidades sin encontrarse la causa del dolor. Se obtuvieron reportes de bioquímica sanguínea; se realizó una ecografía abdominal, esofagogastroduodenoscopia y ecocardiograma transtorácico, todo sin hallazgos patológicos. Fue tratado con analgésicos no esteroideos y con antiácidos con persistencia de la sintomatología.
Por la poca respuesta clínica se realizó una tomografía de abdomen contrastada; al revisar las imágenes se observó una lesión hipodensa subcutánea de 2x3 mm en epigastrio, generando la sospecha de un tumor glómico por las características clínicas y la experiencia previa en el abordaje de esta neoplasia en extremidades. Ante este hallazgo, se plantea la realización de resección quirúrgica bajo anestesia general debido a la poca tolerancia a la palpación epigástrica para un abordaje con anestesia local.
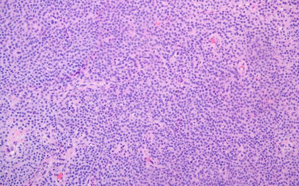
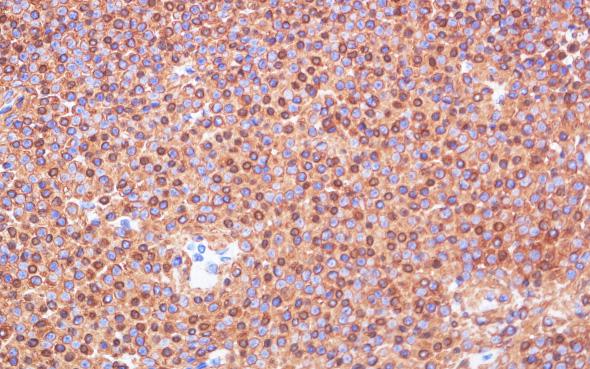
Para la localización, antes de la intervención quirúrgica se le pidió al paciente que señalara el sitio exacto del dolor previa impregnación de tinta en el pulpejo del dedo del paciente, con lo que quedó marcado el sitio exacto. Se realizó resección amplia encontrando un nódulo subcutáneo característico (figura 1). La histopatología confirmó el diagnóstico (figuras 2 y 3). Posterior al tratamiento quirúrgico, el paciente presentó remisión completa de los síntomas.
.jpg)
Figura 1. Nódulo subcutáneo resecado en el epigastrio, corresponde al sitio anató- mico de dolor marcado por el paciente. Muestra enviada a patología con la cual se confirmó el diagnóstico de tumor glómico.
.jpg)
Figura 2. Inmunohistoquímica positiva para actina específica de músculo.
.jpg)
Figura 3. Láminas de células glómicas, redondas, con cromatina uniforme y activi- dad mitótica mínima.
Resumen
Introducción: a pesar de la baja incidencia, la presentación clínica típica de los tumores glómicos digitales permite un diagnóstico adecuado en el 90% de los casos. Sin embargo, las presentaciones extradigitales son un reto diagnóstico y en ocasiones implican la realización de estudios, manejo médico fallido, retrasos en el diagnóstico y/o diagnósticos erróneos. Por lo tanto, es importante conocer la presentación y forma de manejo de los tumores glómicos con localización atípica.
Presentación del caso: se presenta un paciente con dolor abdominal de 2 años de evolución, en epigastrio, con características lancinantes asociado a deterioro de la calidad de vida. No tenía hallazgos a la inspección física, pero presentaba generación del dolor a la palpación. Se enfocó como dispepsia e isquemia miocárdica; sin embargo, se descartaron estos diagnósticos. Una tomografía de abdomen reportó una lesión nodular de 3x5 mm subcutánea epigástrica. Se estableció el diagnóstico de tumor glómico y fue llevado a resección quirúrgica con mejoría inmediata.
Conclusión: los tumores glómicos pueden localizarse en cualquier parte del cuerpo. Es importante conocer la presentación clínica típica para facilitar su diagnóstico; cuando es diagnosticado, el tratamiento curativo es la escisión quirúrgica y rara vez se presentan recurrencias.
Introduction: despite the low incidence, the typical clinical presentation of digital glomus tumors allows an accurate diagnosis in 90% of cases. However, extradigital presentations represent a diagnostic challenge which can induce failure in medical management, diagnostic delays, and/or misdiagnoses, often requiring additional workup studies. Hence, it is crucial to understand the presentation and management of glomus tumors in atypical locations.
Case presentation: it is presented a patient with a two-year history of sharp epigastric abdominal pain associated with a reduced quality of life. There were no significant findings at physical exam, except for pain reproduction upon palpation. Initial focus was on dyspepsia and myocardial ischemia, which were ruled out. Abdominal CT imaging revealed a 3x5 mm subcutaneous epigastric nodular lesion. A diagnosis of a glomus tumor was established, and the patient underwent surgical resection, leading to immediate improvement.
Conclusion: glomus tumors can occur anywhere in the body. Recognizing their typical clinical presentation is essential to facilitate diagnosis. When identified, surgical excision is a curative treatment, and recurrences are rare.
Un tumor glómico es un tumor benigno del aparato neuromioarterial¹; el cuerpo glómico normal es una forma especializada de anastomosis arteriovenosa que participa en la termorregulación y control de la presión arterial, modificando el flujo sanguíneo en la piel, se localiza en el estrato reticular de la dermis²,³. El tumor glómico es casi siempre un nódulo dérmico solitario, principalmente localizado en las zonas subungueales de los dedos de las manos. Los tumores glómicos son infrecuentes, se estima que sean el 1,6% de los tumores de tejidos blandos, afectando a ambos sexos por igual².
La presentación clínica de los tumores glómicos no se relaciona a su tamaño, se caracteriza por paroxismos de dolor intenso y desproporcionado, que se desencadena por la estimulación táctil y cambios de temperatura, especialmente la exposición al frío².
Aunque no se ha comprendido completamente la fisiopatología del dolor, se han encontrado fibras nerviosas que contienen sustancia P inmunorreactiva (péptido asociado con el dolor) en los tumores glómicos, lo que sugiere un rol de esta en la mediación del dolor². Las características clínicas específicas de los tumores glómicos digitales permiten un diagnóstico clínico acertado en el 90% de los casos; sin embargo, la localización extradigital es rara y representa un gran reto diagnóstico, asociado frecuentemente a imprecisiones en el mismo⁴,⁵.
En la revisión exhaustiva de la literatura realizada, solo se encontraron 3 casos de tumores glómicos extradigitales con afectación de la pared abdominal⁶,⁷. Por lo tanto, se reporta este caso con una clínica típica, llevado a resección quirúrgica y confirmado por histopatología. Es importante que los médicos conozcan la presencia de estos tumores en sitios inusuales para facilitar su diagnóstico y tratamiento oportuno.
Presentación del casoHombre de 42 años, comerciante, sin antecedentes médicos ni quirúrgicos. Consultó por 2 años de dolor abdominal de alta intensidad en región epigástrica, tipo lancinante y en ocasiones urente. El dolor no tenía irradiación, ni asociación con la ingesta o demás síntomas gastrointestinales; sin embargo, empeoraba con el agua fría, al roce con las prendas de vestir, la palpación epigástrica y el decúbito prono. El paciente negó historia de trauma local.
A la exploración abdominal, el paciente presentaba dolor lancinante e intenso a la palpación epigástrica superficial, sin signos de abdomen agudo. El resto de la exploración física sin hallazgos anormales.
El paciente había consultado en múltiples oportunidades sin encontrarse la causa del dolor. Se obtuvieron reportes de bioquímica sanguínea; se realizó una ecografía abdominal, esofagogastroduodenoscopia y ecocardiograma transtorácico, todo sin hallazgos patológicos. Fue tratado con analgésicos no esteroideos y con antiácidos con persistencia de la sintomatología.
Por la poca respuesta clínica se realizó una tomografía de abdomen contrastada; al revisar las imágenes se observó una lesión hipodensa subcutánea de 2x3 mm en epigastrio, generando la sospecha de un tumor glómico por las características clínicas y la experiencia previa en el abordaje de esta neoplasia en extremidades. Ante este hallazgo, se plantea la realización de resección quirúrgica bajo anestesia general debido a la poca tolerancia a la palpación epigástrica para un abordaje con anestesia local.
Para la localización, antes de la intervención quirúrgica se le pidió al paciente que señalara el sitio exacto del dolor previa impregnación de tinta en el pulpejo del dedo del paciente, con lo que quedó marcado el sitio exacto. Se realizó resección amplia encontrando un nódulo subcutáneo característico (figura 1). La histopatología confirmó el diagnóstico (figuras 2 y 3). Posterior al tratamiento quirúrgico, el paciente presentó remisión completa de los síntomas.
ConclusiónEl tumor glómico es un tumor de tejidos blandos infrecuente, puede estar localizado en cualquier parte del cuerpo, incluso en la pared abdominal. Se puede plantear el diagnóstico una vez se hayan descartado causas agudas de dolor abdominal más frecuentes y teniendo en cuenta la historia del dolor y la tríada clínica. Sin embargo, el diagnóstico definitivo es histopatológico. La escisión quirúrgica es el tratamiento curativo y la recurrencia es extremadamente rara. La singularidad de esta situación ha generado mayor conciencia acerca de esta causa inusual del síndrome doloroso regional asociado con el tumor glómico de localización en pared abdominal.
Consideraciones éticasSe obtuvo el consentimiento informado correctamente diligenciado por el paciente para la presentación del caso. Además, se contó con la aprobación del Comité de ética e investigación de la institución donde se encontraba el paciente.
Conflictos de interésLos autores declaran no tener conflictos de interés.
FinanciaciónEste trabajo fue financiado con recursos propios de los autores. No hubo financiación externa de personas o instituciones para el desarrollo de este estudio.
References
1. Sacks JM, Azari KK, Oates S, Chang DW. Benign and malignant tumors of the hand. In: Chang J ed. Plastic SurgeryHand and Upper Extremity. Volume 6. 3rd ed. Elsevier; 2012:311-332.
2. Enzinger y Weiss. Tumores de partes blandas. Tumores perivasculares, España, Elsevier Masson; 2021.
3. Alyaseen HN, Al Ghadeer HA, Al-Ghanim ME, Aljawad HH, Córdo- ba CR. Extradigital Glomangioma of the Cutaneous Chest Wall. http://doi.org/10.7759/cureus.17910. Cureus. 12 de septiembre de 2021.
4. Lee DW, Yang JH, Chang S, Won CH, Lee MW, Choi JH, et al. Clinical and pathological characteristics of extradigital and digital glomus tumours: a retrospective comparative study: Extradigital glomus tumours. Journal of the European Academy of Dermatology and Venereology. Diciembre de 2011; 25(12):1392-7.
5. Samaniego E, Crespo A, Sanz A. Key Diagnostic Features and Treatment of Subungual Glomus Tumor. Actas Dermo-Sifiliográficas (English Edition). Noviembre de 2009;100(10):875-82.
6. Folpe AL, Miettinen M. Atypical and Malignant Glomus Tumors.
Am J Surg Pathol. 2001;25(1).
7. Chun JS, Hong R, Kim JA. Extradigital glomus tumor: A case report.
Molecular and Clinical Oncology. marzo de 2014;2(2):237-9.
8. Verma A, Parmar R, Pawar I, Agarwal S. Diagnostic Dilemma of Subungual Glomus Tumor of Great Toe: A Case Report and Review of the Literature. Journal of Foot and Ankle Surgery (Asia Pacific). 31 de diciembre de 2021;9(1):35-9.
9. Tang CYK, Tipoe T, Fung B. Where is the Lesion? Glomus Tumours of the Hand. Arch Plast Surg. Septiembre de 2013;40(05):492-5.
10. Bhalchandra Londhe S, Anchan C, Mahajan P. Extradigital glomus tumor causing scapulothoracic impingement: A case report. Journal of Clinical Orthopaedics and Trauma. Noviembre de 2021;22:101595.